Los dientes torcidos atrapan placa y bacterias, aumentando el riesgo de caries y enfermedad de las encías.
Durante muchas de nuestras citas, escuchamos a los pacientes decir: «Siempre he tenido mis dientes torcidos; incluso me dan carácter.» Estamos a favor de amarse a uno mismo, y también debemos reconocer una realidad biológica.
El desalineamiento, en términos sencillos, es lo mismo que la maloclusión en jerga médica; esto rara vez es solo un problema estético. También implica un riesgo funcional.
Imagina tus dientes como libros ordenados en una estantería. Si los libros están todos en fila ordenada y espaciados uniformemente, será muy fácil limpiar entre ellos. Pero si los has apretado, hecho que algunos se superpongan e incluso torcido, el polvo atrapado en los lugares a los que no llega el paño será muy poco. En tu boca, el «polvo» son la placa y la estantería es tu mandíbula.
En Lema Dental Clinic en Turquía, vemos todos los días las consecuencias biológicas a largo plazo de descuidar estos problemas. Una sonrisa hermosa no es definitivamente lo único que está en riesgo; se trata de romper una cadena de reacciones de problemas de salud dental.
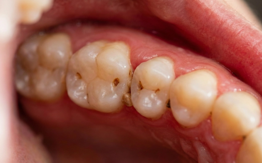
La anatomía de una trampa de caries

El mecanismo, que es simple y devastador a la vez, hace que cuando tienes dientes apiñados o torcidos, aparezcan «puntos ciegos»: espacios muy cercanos donde las cerdas del cepillo y el hilo dental simplemente no llegan.
La dentista Polen Akkılıç y su equipo encuentran caries interproximales con frecuencia en pacientes con apiñamiento severo. Estos pacientes generalmente tienen muy buena higiene. Ellos se cepillan los dientes dos veces al día. Usan hilo dental. Pero aun así, desarrollan caries. ¿Por qué?
Porque, después de todo, «no puedes limpiar lo que no puedes alcanzar».
Cuando dos dientes se superponen, se crea un área pequeña donde las bacterias pueden vivir. Estas bacterias se alimentan de azúcares y producen ácidos como residuo. La saliva elimina la mayor parte del ácido de forma natural en el caso de dientes rectos. En el caso de apiñamiento, el ácido permanece porque la saliva no puede alcanzarlo y el ácido lentamente come el esmalte; esto es una analogía muy familiar de cómo el óxido consume lentamente el guardabarros de un coche.
El asesino silencioso: enfermedad periodontal (de las encías)
Aunque caries es algo que duele y se puede ver, es la enfermedad de las encías la que es el asesino silencioso y causa más daño.
Las encías en buen estado envuelven el cuello del diente, de manera similar a cómo una tapa de goma tensa en un frasco lo mantiene fresco. Esa tapa bloquea la penetración profunda de bacterias en el hueso. Por otro lado, los dientes que no están alineados generan tracción y torsión en el tejido de las encías. Esta es la evidencia que encontramos la mayoría del tiempo en la clínica: cuando un diente se desplaza demasiado, ya sea hacia adelante o hacia atrás, el tejido de las encías se estira y se vuelve muy delgado. La infección se desarrolla fácilmente (gingivitis) a medida que la placa se acumula en la línea de las encías.
Eventualmente, la irritación se volverá tan severa que dañará la tapa. Las encías se retraen, formando bolsas donde las bacterias pueden prosperar bastante bien. Este es el momento en que la gingivitis se convierte en periodontitis. Cuando se pierde hueso, el diente tendrá un soporte muy débil desde su base. El Profesor Doctor Coşkun Yıldız, entre los muchos expertos, considera absurdo intentar curar las encías sin arreglar los dientes primero. Es como trapear el piso mientras el grifo todavía está abierto. El problema estructural se resuelve y, además, se salva.
Fuerzas desiguales: El punto de quiebre

El problema no es solo de bacterias; también es una cuestión de física.
Sin embargo, cada vez que aprietas los dientes, los músculos de la mandíbula pueden generar una fuerza muy potente. Un conjunto de dientes alineados distribuirá la fuerza de manera uniforme como una pared portante que sostiene el peso de un techo. Los dientes mal alineados son atacados por la fuerza de una manera para la que no están preparados. Las superficies oclusales se agrietan de microfracturas por los golpes tan fuertes. Esas grietas se convierten en pasajes para que las bacterias entren en el interior del diente.
Comparando riesgos: dientes rectos vs. dientes torcidos
Para que puedas entender mejor los riesgos, aquí tienes un resumen simplificado de lo que hemos observado clínicamente en Turquía:
| Característica | Dientes rectos / alineados | Dientes torcidos / apiñados |
| Eficiencia en la limpieza | Alta. La seda dental llega fácilmente a la línea de encías. | Baja. La seda puede romperse o no alcanzar los puntos de contacto. |
| Acumulación de placa | Mínima. La saliva limpia efectivamente las superficies lisas. | Alta. Las áreas superpuestas crean trampas para la placa. |
| Salud de las encías | Las encías forman un sello ajustado y saludable. | Las encías están inflamadas, tensas, rojas o retraídas. |
| Pernos de desgaste | Despacio y de manera uniforme con el tiempo. | Rápido, con astillados y microfracturas. |
| Riesgo de caries | Bajo a moderado (depende de la dieta). | Alto (depende de la estructura). |
Preguntas frecuentes
Un irrigador bucal es una excelente máquina y apoyamos totalmente su uso. Sin embargo, no debe considerarse como el único instrumento para tus problemas bucales. Además, si los dientes de una persona están tan superpuestos que el área de contacto inalcanzable, que incluso el agua a presión no puede limpiar, es como lavar un coche de tierra; si solo rocias la suciedad, la superficie estará sucia, y si no frots la suciedad de la superficie, permanece. La única forma de asegurarse una limpieza completa es mediante la realineación, por eso a menudo se realinean.
Bueno, la respuesta simple es no si solo se trata de la apariencia. La salud definitivamente es más importante que el aspecto. No puedes enmascarar un caso de periodontitis activa con carillas; eso sería peligroso — es como pintar sobre moho. Primero, tienes que controlar tu problema de encías. Una vez que la base esté lo suficientemente fuerte, se usará una sonrisa hollywoodense para corregir el desalineamiento y prevenir que el problema vuelva.
Reduce significativamente el riesgo. Al eliminar los lugares favoritos de escondite de las bacterias, básicamente has hecho que tu rutina de limpieza del hogar funcione una vez más. Ahora ya no es una batalla perdida.
Realmente no. El hueso humano puede reconfigurarse y los dientes pueden restaurarse en casi cualquier edad, siempre que aún haya suficiente densidad ósea. Vemos muchos pacientes en sus 50 y 60 años en tratamiento. En algunos casos, solo corrigiendo el alineamiento se pueden salvar dientes con riesgo de perder debido a la periodontitis en la vejez.
Al final, todo apunta a traumatismo. Si un diente torcido recibe un golpe con la fuerza de un diente opuesto un poco demasiado fuerte cada vez que traga o mastica, \»golpea\» el ligamento que sostiene el diente en la mandíbula. Este traumatismo continúa acelera la pérdida ósea. La corrección del alineamiento detuvo este trauma.
- Bollen, A. M., & Cunha-Cruz, J. (2020). Malocclusion and periodontal disease: Is there a link? American Journal of Orthodontics and Dentofacial Orthopedics, 157(3), 289-291.
- Helm, S., & Petersen, P. E. (2019). Causal relation between malocclusion and caries. Acta Odontologica Scandinavica, 47(4), 217-221.
- Geiger, A. M. (2021). Malocclusion as an etiologic factor in periodontal disease: A retrospective essay. American Journal of Orthodontics, 118(1), 112-116.
- Ngom, P. I., Diagne, F., Dieye, F., & Diop-Ba, K. (2018). Relationship between malocclusion and periodontal disease. Journal of Periodontal Research, 53(2), 145-152.
- Sernetz, F. (2022). The correlation between crowding, oral hygiene and periodontal health. Journal of Orofacial Orthopedics, 83(1), 56-64.

