L’or ne pourrit pas les dents ; seul une mauvaise hygiène ou un mauvais ajustement le fait.
Les personnes avec des dents en or ont fière allure ! Beaucoup de nos patients viennent dans notre clinique en Turquie pour bénéficier de ce travail dentaire en or de première classe. Ils sont fascinés par la résistance incroyable et l’aspect unique de ces pièces. Mais une grande idée reçue continue de se répandre en ligne. Beaucoup pensent à tort qu’une couronne en or fait pourrir la dent naturelle en dessous.
En réalité, l’or est l’un des matériaux les plus sûrs que l’on puisse mettre dans votre corps. L’or de haute carat, par exemple, ne rouille jamais. Il ne se corrode pas. De plus, il ne peut pas développer de bactéries de lui-même. Alors, d’où vient l’idée d’une « dentaire en or qui pourrit » ? Ce n’est pas le métal lui-même, mais la façon dont l’or est placé qu’il faut comprendre.
Construire un sourire sain

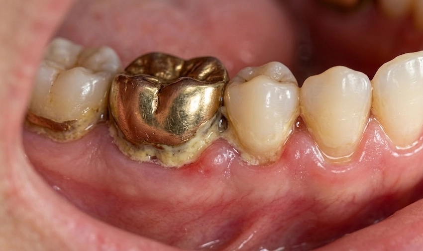
Lorsque vous optez pour une couronne en or personnalisée, vous pouvez l’imaginer comme une porte blindée solide protégeant une banque. La porte est forte en elle-même. Elle ne va pas céder, ni endommager les murs autour.
Le professeur Docteur Coşkun Yıldız, un dentiste turc renommé avec plus de 30 ans d’expérience, affirme que la bouche est un environnement très dur et acide où les métaux bon marché s’oxydent et provoquent une irritation des gencives. Cependant, l’or pur utilisé en dentisterie se démarque des autres. Il est poli selon des normes élevées, ce qui donne une surface si incroyablement lisse qu’il est plus difficile pour la plaque nuisible de s’y attacher, comparé à une dent naturelle ou une couronne en or.
La vraie cause de la carie : un mauvais ajustement
Mais si l’on approfondit les raisons pour lesquelles les dents se décomposent sous la couronne, il ne sera jamais possible de reprocher à l’or lui-même. Ce qui intervient ici, c’est l’écart.
Ici à la Clinique Dentaire Lema, nous traitons souvent des patients qui ont reçu un travail dentaire médiocre ailleurs, et parfois ils se fient même à des kits de bijouterie à faire soi-même à la maison. Si une capsule en or est mal réalisée, elle ne sera pas ajustée de façon étroite contre la dent, ce qui crée un petit espace entre le métal et votre émail.
Nous appelons cet espace la microfuite. Imaginez une fenêtre soufflant en hiver. Si le joint est cassé, l’air froid pénètre à l’intérieur. Dans votre bouche, les bactéries nuisibles passent par la fissure. Le dentiste Polen Akkılıç et son équipe utilisent un scanner numérique ultramoderne et un fraisage précis pour éviter cela. Ils veillent à ce que le joint de votre couronne en or soit hermétique. Un ciment dentaire spécial est utilisé pour bien la fixer. Si les bactéries ne peuvent pas entrer, la carie devient impossible.
Comparer les travaux dentaires en or
Votre risque de carie dentaire dépend du type de travail en or que vous choisissez.
| Type de travail dentaire en or | Sécurité pour votre émail | Ajustement et étanchéité | Risque de carie |
| Couronne en or haute carat sur mesure | Excellente | Étanchéité parfaite | Très faible |
| Inlays en or | Excellente | Étanchéité parfaite | Faible |
| Grillz en or à clipser sur mesure | Modérée (doit être retiré pour le nettoyage) | Pas d’étanchéité | Modéré à élevé |
| Caps en or DIY / Faux | Médiocre (griffe vos dents) | Pas d’étanchéité | Extrêmement élevé |
L’importance du nettoyage quotidien

La grande question est : si une personne a des couronnes en or permanentes, pourquoi a-t-elle encore parfois des caries ?
En réalité, dans une clinique dentaire, une couronne en or protégera le sommet de la dent. Cependant, la partie inférieure de la dent, là où l’or touche la ligne des gencives, reste une racine de dent naturelle. Si le brossage et la soie dentaire sont négligés quotidiennement, la plaque s’accumule dans cette crevasse. L’acide provenant de cette plaque est prêt à ronger la racine naturelle. Le résultat est que la carie peut progresser sous la couronne en or. En d’autres termes, la dent pourrit de la base vers le haut, et non de la couronne vers le bas.
Une bonne hygiène bucco-dentaire est essentielle. Votre dissour en or vous servira pendant des années si vous en prenez soin comme vous le faites avec vos dents naturelles.
Questions fréquentes
Très probablement, non. L’or véritable ne sent absolument rien. S’il y a une mauvaise odeur, alors probablement une particule alimentaire et des bactéries sont piégées sous une couronne lâche. Une maladie des gencives peut également commencer autour de la dent.
Une couronne permanente nécessite un léger façonnage de la dent. Cela sera fait de manière à ce que la capsule en or s’ajuste à la dent sans paraître volumineuse. Les couronnes en or sont si fortes que moins de structure dentaire devra être sacrifiée comparé aux couronnes en porcelaine.
Certainement. Comme les radiographies ne peuvent pas pénétrer le métal solide, il est essentiel de faire des contrôles réguliers. En utilisant des sondes physiques spéciales et des scans 3D, le dentiste examinera les bords pour assurer la sécurité de votre dent.
Cette idée fausse est née de l’utilisation de grillz bon marché, faux ou de capsules autocollantes DIY. Ces faux produits encombreront vos dents avec des aliments acides et des bactéries, et les laisseront là pendant des semaines. Résultant rapidement en une carie intense.
Bien sûr, si vous choisissez une clinique fiable et haut de gamme. Nous, à la Clinique Dentaire Lema, utilisons de l’or dentaire pur et des instruments numériques modernes. Votre sourire sera magnifique, et la dent en dessous sera complètement saine.
- Christensen, G. J. (2020). La durabilité et la performance clinique des restaurations en or coulé. Journal of the American Dental Association, 151(8), 590-593.
- Donovan, T. E., & Chee, W. W. (2019). Restaurations en or coulé conservatrices : Techniques cliniques et résultats à long terme. Cliniques dentaires en Amérique du Nord, 63(2), 235-253.
- Heintze, S. D., & Rousson, V. (2021). Efficacité clinique des restaurations de classe II directes : Une méta-analyse. Journal of Adhesive Dentistry, 23(4), 281-295.
- Rekow, E. D., & Silva, N. R. (2022). Adaptation marginale et microfuite des restaurations dentaires : Revue complète des matériaux. Revue Internationale de Prothèse Dentaire, 35(1), 45-56.
- Yıldız, C., & Akkılıç, P. (2023).Biocompatibilité des marges d’alliages de haute nobleté en dentisterie réparatrice esthétique. Revue Européenne d’Esthétique Dentaire et de Biomatériaux, 18(3), 211-219.

