Oui, les soins dentaires précoces peuvent souvent sauver une dent desserée.
Savoir que votre dent adulte bouge un peu est vraiment effrayant. Cela va à l’encontre de ce que les gens associent généralement à leurs dents adultes et l’une de vos premières pensées pourrait être une dent manquante juste après ou une chirurgie buccale compliquée et désagréable. Cependant, le fait est que plus tôt vous réaliserez que votre dent bouge, mieux ce sera. Il s’agit potentiellement de sauver votre dent plutôt que de la perdre.
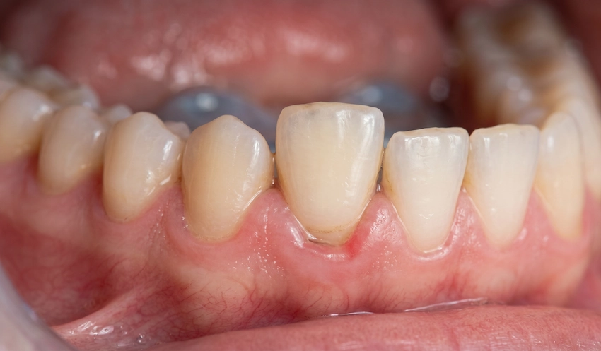
Le Cadre de Vos Dents
Une bonne façon de regarder les dents n’est pas comme des chevilles en bois fixes, mais plutôt comme des arbres avec des racines profondes. Nos dents sont situées dans l’os de la mâchoire, qui constitue leur lieu de fixation. Les ligaments gingivaux qui maintiennent nos dents en place sont structurellement comparables aux racines d’un arbre qui maintiennent le sol autour d’eux. La présence d’une maladie des gencives peut être assimilée à une inondation silencieuse qui érode l’os, détruisant ces « racines » tout aussi vitales. Par conséquent, l’arbre « se balancerait » à cause d’un support diminué, parlant métaphoriquement .
Cependant, pour réfléchir plus en profondeur à comment éliminer cette inondation et réparer la fondation, il suffit d’examiner ces aspects de plus près.
Méthodes Employées à la Clinique Dentaire Lema

C’est ce que nous avons observé à la clinique. Vraiment, de nombreux patients arrivant en Turquie sont tellement désespérés qu’ils pensent que la seule solution est d’extraire une dent. En outre, ils s’inquiètent et ont peur de ne plus pouvoir mâcher. Avant tout, La Clinique Dentaire Lema privilégie la préservation des dents naturelles.
Selon le Professeur Docteur Coşkun Yıldız, le signe principal d’une dent instable n’est qu’un indicateur. Ce n’est guère la dernière étape. Les facteurs principaux qui la causent sont des infections profondes en tout cas ou une mauvaise occlusion. En éliminant ces principales causes, notre capacité à arrêter la progression de la perte de dents est assez élevée.
Sous la supervision étroite de la dentiste Polen Akkılıç et son équipe, nous employons des procédures sophistiquées pour vos dents :
- Nettoyage en profondeur : Nous désinfectons soigneusement la zone sous la ligne des gencives. Nous éliminons les dépôts durcis et les bactéries. Si vous pouviez le voir de cette façon, c’est comme éliminer la croissance excessive sur la coque d’un bateau afin que le bois puisse à nouveau se remettre.
- Attache de dent : Parfois, même si l’os s’améliore, la dent bouge encore. Dans ce cas, nous pouvons l’attacher aux dents solides à ses côtés. On peut le comparer à fixer un arbre fragile à un chêne robuste pour le protéger du vent.
- Greffe osseuse : Il est vrai que nous pouvons refaire l’os perdu. Nous insérons des substances sûres et cicatrisantes dans les zones les plus vulnérables. Cela aide votre corps à créer un nouvel os et des tissus gingivaux sains.
Délais et Attentes du Traitement

Nous devons encore déterminer l’option la plus adaptée pour vous. Au départ, il nous faut un scan 3D pour révéler l’étendue des dégâts.
| Type de traitement | Cas les plus appropriés | Temps de cicatrisation (moyen) |
| Ajustement de l’occlusion | dents usées par le grincement excessif. | Élimination instantanée de l’inconfort |
| Attache de dent | Dents desserrées mais avec des dents voisines solides. | 1 à 2 semaines jusqu’à ce que la dent soit ferme |
| Nettoyage en profondeur | Gencives infectées et enflées | 2 à 4 semaines durant lesquelles les gencives se réattache |
| Greffe osseuse | Perte osseuse importante nécessitant une correction | 3 à 6 mois pour que le nouvel os mûrisse |
Questions les Plus Fréquemment Posées
Non, pas nécessairement. Ce qui fait de la maladie des gencives le facteur principal, c’est que très peu d’autres raisons conduisent à des dents desserrées. J’ai rencontré un cas où des dents deviennent lâches suite au grincement des dents. De plus, se prendre violemment la bouche peut aussi entraîner cela. Nous avons besoin d’un scan 3D pour déterminer la cause exacte de votre problème.
Dans le cas où le relâchement s’est produit suite à une petite blessure, et que c’était récent, c’est possible. Les racines des gencives peuvent récupérer d’elles-mêmes, mais si le problème provient d’une infection ayant atteint un niveau très avancé, la zone ne pourra certainement pas guérir toute seule. Si vous hésitez encore, vous pouvez attendre et voir. Je vous déconseillerais toutefois de le faire.
Nous recourons principalement aux attachements lorsque nous devons optimiser le temps qui nous reste. Ils maintiennent la dent fermement. L’os aura la chance de guérir sans être frappé à chaque fois que la personne mange. Il y a des cas où l’attache est retirée après quelques mois, et d’autres où elle est conservée comme un appareil de retention permanent.
Laissez-moi vous rassurer à ce sujet. Pour tous les travaux profonds sur les gencives, nous utilisons des anesthésiques locaux très puissants. Vos sensations principales seront la pression et la vibration. Nous avons fait en sorte que le niveau d’anesthésie soit tel que vous ne ressentiez aucune douleur aiguë avant de procéder au travail.
On peut même dire que dans certains cas, l’os n’est tout simplement plus là. Dans ces situations, pour sauver les autres dents, il vaut mieux que celle qui cause le problème soit enlevée. Dès cet instant, notre prochain plan sera l’implant dentaire. L’implant est en titane et fonctionne de manière similaire à une racine de dent naturelle. C’est ce qui vous aide à maintenir un sourire complet et puissant .
- American Academy of Periodontology. (2015). Thérapie parodontale globale : une déclaration de l’American Academy of Periodontology. Journal of Periodontology, 86(7), 834-836.
- Cortellini, P., & Tonetti, M. S. (2015). Concepts cliniques pour la thérapie régénérative dans les défauts intra-osseux. Periodontology 2000, 68(1), 282-307.
- Giargia, M., & Lindhe, J. (1997). Mobilité dentaire et maladie parodontale. Journal of Clinical Periodontology, 24(11), 785-795.
- McGuire, M. K., & Nunn, M. E. (1996). Pronostic versus résultat réel. II. L’efficacité des paramètres cliniques dans l’établissement d’un pronostic précis. Journal of Periodontology, 67(7), 658-665.
- Sonnenschein, S. K., & Meyle, J. (2015). Parodontite sévère localisée. Periodontology 2000, 69(1), 160-184.

