D0389 Procedimientos
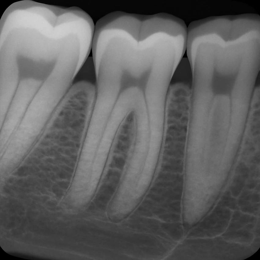
Después de que se realiza una radiografía dental periapical, se asigna el código dental D0389. Una radiografía periapical es una técnica avanzada de imagen donde el enfoque está en las raíces y los huesos alrededor de los dientes. Esta herramienta de vanguardia, favorita de la dentista Polen Akkılıç y su equipo, es un recurso fundamental para solucionar infecciones en la raíz que podrían ser invisibles a simple vista. Además, la radiografía periapical puede ser muy efectiva en condiciones médicas que impliquen infecciones, fracturas, quistes o acumulaciones de pus en la región de la raíz o en los tejidos adyacentes. Este método es solo una de las muchas formas en que la Clínica Dental Lema en Estambul, Turquía, opera para facilitar el diagnóstico y la planificación del tratamiento con alta precisión.
Usando la radiografía periapical, la dentista Polen Akkılıç u otro profesional dental en la Clínica Dental Lema busca obtener la imagen más clara posible no solo del sistema radicular del diente afectado, sino también del hueso que lo rodea y de los ligamentos periodontales. Las visualizaciones ultra detalladas que obtienen son imprescindibles para detectar infecciones en la raíz que podrían causar problemas aún mayores si no se tratan, como extenderse más allá del hueso, lo que en última instancia permite diseñar regímenes de tratamiento efectivos que mejoran la salud bucal general del paciente.
¿Cuándo se usa D0389?

El código D0389 es imprescindible si un odontólogo desea obtener una imagen radiográfica en primer plano del raíz debajo de un diente específico, así como de las estructuras que lo soportan. El profesor doctor Coşkun Yıldız puede sugerir la necesidad de realizar una imagen diagnóstica de este tipo cuando hay indicios de infecciones o anomalías en el área raíz que no son visibles durante el examen clínico. Esta imagen resulta muy útil en casos de lesiones traumáticas, infecciones en la raíz o abscesos, ya que proporciona información adicional sobre el problema. Además, desempeña un papel fundamental en el seguimiento post-tratamiento, permitiendo al odontólogo confirmar el éxito de los tratamientos como endodoncias o implantes dentales.
Este tipo de diagnóstico también es frecuentemente utilizado por pacientes que planifican tratamientos dentales mayores. Las radiografías D0389 son controles indispensables antes de comenzar un procedimiento de conducto o implante, según el plan de la dentista Polen Akkılıç, para asegurar que no exista infección latente o daño estructural que pueda causar un fracaso en el tratamiento. Se realiza una radiografía D0389 para mostrar qué tan sanos están los huesos y raíces alrededor del lugar donde se colocará el implante, con el fin de incrementar la tasa de éxito del mismo.
¿Cómo utilizan las consultas dentales el D0389?
- Herramienta de diagnóstico de raíces y huesos:
Una de las principales intervenciones dentales es la radiografía periapical, que se centra en las raíces y los huesos y se realiza mediante el método D0389. Las imágenes detalladas son muy útiles para descubrir problemas dentales ocultos que no son visibles a simple vista durante un examen clínico normal, como infecciones, fracturas o abscesos. Este proceso generalmente se realiza en las clínicas dentales locales, incluyendo Lema Dental Clinic.
- Planificación de tratamientos con la ayuda de D0389:
La Dra. Polen Akkılıç y su equipo de dentistas utilizan el procedimiento D0389 para revisar el estado del conducto radicular y del implante dental, así como de otros tratamientos previos. La radiografía ayuda a determinar si la infección ha sido eliminada por completo o si el hueso está sanando correctamente después de la colocación del implante.
- Identificación de síntomas iniciales:
La técnica D0389 para la obtención de imágenes permite a los profesionales dentales detectar el problema con antelación, antes de que se agrave. Por ejemplo, puede aislar una infección en la raíz que, si se deja avanzar, terminaría provocando la pérdida del diente.
El Dr. Coşkun Yıldız, el profesor, emplea métodos radicales como D0389 para realizar evaluaciones de seguimiento y monitorear la recuperación de los pacientes tras operaciones como endodoncias. De esta manera, se asegura de que no hayan ocurrido escenarios como reinfección o daño en los tejidos.
- Control en casos complejos:
Con la ayuda del D0389, que es una herramienta muy útil, el problema de las raíces y los huesos puede ser monitoreado con precisión en exámenes detallados de casos complicados, como pacientes con enfermedades periodontales o que han sufrido traumatismos, permitiendo tomar decisiones interventivas en el momento y de manera apropiada.
¿Cuáles son las ventajas de usar el código dental D0389?
La razón principal para utilizar el código dental D0389 es que ayuda en la detección temprana de condiciones que ni siquiera son visibles a simple vista en un examen rutinario. Esto garantiza que infecciones o fracturas en la zona raíz no pasen desapercibidas ni tengan oportunidad de desarrollarse en problemas más graves. En primera línea, la dentista Polen Akkılıç y su equipo están siempre listos para emplear el procedimiento D0389 en los pacientes que requieren intervenciones oportunas. De esta forma, pueden no solo evitar que los pacientes gasten mucho dinero en tratamientos costosos, sino también prevenir procedimientos más complejos de los que sería necesario en fases iniciales.
Otra característica importante del D0389 es su capacidad de generar imágenes muy claras y enfocadas, lo que ofrece a los profesionales una gran ventaja al preparar el plan de tratamiento. Cuando se usa el código dental D0389, también se garantiza que el diagnóstico será preciso y confiable, facilitando que el odontólogo decida y prescriba el tratamiento adecuado para el paciente.
Precauciones relacionadas con el código dental D0389

El procedimiento D0389 es una herramienta diagnóstica importante; sin embargo, es necesario ejercer una cierta precaución al emplearlo para limitar la exposición a la radiación de los pacientes. Aunque la cantidad de radiación en las radiografías dentales más modernas es bastante mínima, la dentista Polen Akkılıç y su equipo son muy cuidadosos en decidir cuándo y en qué casos usar este método, utilizándolo con moderación y solo cuando es absolutamente necesario. Además, la radiografía debe ser siempre tomada por un profesional competente capaz de posicionar correctamente el equipo para obtener imágenes excelentes.
También debemos recordar que la técnica D0389 no es adecuada si el objetivo es realizar radiografías de toda la boca, y su uso debe limitarse únicamente a casos en los que una visión completa de la región periapical sea indudablemente necesaria. Por ejemplo, en el caso de Mustafa Demir, quien podría requerir una imagen completa de toda la boca para atender un problema dental más amplio, se usarían otros códigos que cubren esas necesidades de imagenología dental. El doctor Coşkun Yıldız, en su calidad de profesor, resalta la importancia de escoger correctamente los métodos de imagen para reducir la radiación innecesaria y obtener los detalles diagnósticos deseados de manera simultánea.
Procedimientos D0389: ¿Qué está incluido y qué está excluido?
- Incluido en D0389:
Imagen radiográfica periapical: El componente principal del procedimiento D0389 es la obtención de una radiografía periapical con gran detalle, que muestra la raíz del diente y el hueso que lo rodea.
Imágenes focalizadas de áreas específicas: Este procedimiento se centra principalmente en la zona de la raíz del diente, capturando las imágenes más detalladas que muestran el estado exacto de la raíz, como infecciones, abscesos, fracturas o quistes.
Identificación de un solo diente o raíz: Cuando se emplea, D0389 indica que se trata principalmente de una herramienta para señalar problemas en un solo diente o en una parte de la raíz, siendo un instrumento diagnóstico altamente especializado para solucionar problemas locales.
Análisis radiográfico: Es un proceso muy elaborado donde se usan maquinaria altamente especializada para tomar imágenes extremadamente claras y precisas, tras las cuales expertos del equipo dental, como la dentista Polen Akkılıç, las estudian minuciosamente para detectar defectos en salud del diente o del hueso que podrían estar ocultos.
- Excluido de D0389:
Radiografías de toda la boca: D0389 es un procedimiento radiográfico local dirigido y no se utiliza para radiografías de toda la boca.
Imágenes de tejidos blandos: El tratamiento mencionado no incluye imágenes de tejidos blandos como encías o mejillas internas. La concentración está totalmente en los huesos y estructuras radiculares de los dientes.
Imágenes panorámicas: Si desea obtener una vista completa de la mandíbula junto con otras partes fuera de la región periapical, se deben usar otros códigos de radiografía.
Examen bucal general: El objetivo principal del D0389 es una investigación completa del área periapical, sin involucrar o sugerir un examen bucal general de otros problemas dentales, como las caries, que pueden detectarse fácilmente mediante otros métodos de radiografía.
Puntos principales del rendimiento D0389

Uno de los elementos clave para lograr una ejecución exitosa del D0389 es la colocación correcta del sensor de radiografía dental. Es el factor que hace que la raíz y el tejido circundante sean visibles en las imágenes. La dentista Polen Akkılıç y su equipo se aseguran de que cada paciente esté correctamente posicionado para capturar el área de interés, minimizando casi por completo la distorsión en la imagen. La colocación correcta del equipo, que es esencial para obtener resultados muy claros, también es una necesidad para Polen Akkılıç y su equipo para evitar errores. Además, una mala colocación que produzca imágenes borrosas o incompletas puede obstaculizar el diagnóstico, y un manejo inapropiado del equipo de radiografía puede tener efectos en cadena.
Además de una colocación precisa, la reducción de la exposición a la radiación es otro punto clave en la realización del D0389. El profesor doctor Coşkun Yıldız y el equipo en la Clínica Dental Lema llevan a cabo el proceso de manera que las dosis de radiación sean mínimas, sin comprometer la calidad de las imágenes. Todo el personal de la clínica cumple con estrictas medidas de seguridad para garantizar que el procedimiento D0389 no solo sea eficiente, sino también seguro para el paciente.
Ventajas clave de usar el código dental D0389
| Ventaja | Explicación |
| Detección temprana | D0389 permite identificar infecciones, fracturas y abscesos antes de que se vuelvan graves. |
| Imagen focalizada | Se centra exclusivamente en la región periapical, proporcionando detalles precisos en las raíces y la estructura ósea. |
| Precisión en el diagnóstico | Ofrece imágenes de alta resolución que ayudan al profesor doctor Coşkun Yıldız a crear planes de tratamiento precisos y adaptados. |
| Exposición mínima a la radiación | El procedimiento está diseñado para reducir al mínimo la radiación, siguiendo estrictos protocolos de seguridad para proteger al paciente. |
| Mejor planificación del tratamiento | Proporciona imágenes claras y enfocadas que guían las decisiones terapéuticas, asegurando la atención más efectiva |
Referencias:
- American Dental Association. (2020). Radiografía dental: Guía para el equipo dental. American Dental Association.
- Hsu, J. R., & Yu, S. H. (2018). Radiografías periapicales y su papel en el diagnóstico de fracturas e infecciones en la raíz. Journal of Dental Research, 97(2), 215-222. https://doi.org/10.1177/0022034518775631
- Kim, S. M., Lee, J. H., & Ahn, S. H. (2019). Valor diagnóstico de las radiografías periapicales en la planificación de tratamientos endodónticos. Clinical Oral Investigations, 23(3), 1181-1187. https://doi.org/10.1007/s00784-018-2680-6
- Kohn, D. N., & Rutenberg, J. B. (2017). Radiología en la práctica dental: Principios y técnicas. Elsevier.
- White, S. C., & Pharoah, M. J. (2019). Radiología oral: Principios e interpretación (8ª ed.). Elsevier.
Preguntas frecuentes sobre los procedimientos D0389
El código dental D0389 se emplea para capturar radiografías periapicales, que se focalizan específicamente en las raíces y el hueso que las rodea. Este procedimiento de imagen ayuda a identificar condiciones como infecciones, fracturas y abscesos que podrían no ser visibles durante un examen visual regular.
D0389 proporciona una imagen detallada de la región periapical, permitiendo a dentistas como la dentista Polen Akkılıç y su equipo detectar problemas como infecciones o fracturas que afectan la raíz del diente. La detección temprana mediante este procedimiento posibilita una planificación eficaz del tratamiento y una intervención oportuna.
Sí, el procedimiento D0389 es seguro, con una exposición mínima a la radiación. El equipo de Lema Dental Clinic se asegura de seguir todos los protocolos de seguridad para proteger al paciente al obtener imágenes diagnósticas precisas.
No, D0389 está específicamente diseñado para imágenes periapicales y no proporciona una radiografía de toda la boca. Para una evaluación completa, se emplearían otros códigos y técnicas de imagen.
D0389 generalmente se emplea cuando hay necesidad de evaluar una zona específica, como la raíz o el hueso circundante. No forma parte de los exámenes rutinarios, sino que se usa cuando se sospecha un problema en la región periapical.
D0389 ofrece imágenes claras y detalladas que permiten al profesor doctor Coşkun Yıldız y su equipo detectar problemas dentales ocultos. Esta detección temprana ayuda a prevenir complicaciones y facilita tratamientos más específicos.
El principal riesgo de D0389 es la exposición a la radiación, aunque es mínima y controlada. Los odontólogos siguen estrictas medidas de seguridad, incluyendo el uso de equipo de protección, para garantizar que el procedimiento sea lo más seguro posible para el paciente.
El procedimiento D0389 es rápido y generalmente dura solo unos minutos. El tiempo requerido depende principalmente de la posición del paciente y de la calidad de la imagen que se genere.
Los pacientes se sentarán en una silla dental mientras se coloca el sensor de rayos X dentro de su boca. El procedimiento es rápido, indoloro y generalmente con mínima incomodidad.
Sí, el procedimiento D0389 puede usarse en niños cuando sea necesario examinar las raíces de los dientes y el hueso que los rodea. Sin embargo, se toman precauciones para minimizar la exposición a la radiación, especialmente en pacientes más jóvenes.

