Większość ludzi nie zastanawia się nawet, że szczotkowanie i nitkowanie, będące głównymi narzędziami codziennej higieny jamy ustnej, mogą nie wystarczyć. Choć te codzienne nawyki są niezbędne, nie są w stanie powstrzymać powstawania kamienia nazębnego (tartar). Po tym, jak płytka odkłada się i przekształca w kamień, nie ma szans, aby szczoteczka do zębów lub jakiekolwiek domowe sposoby bezpiecznie go usunęły. W związku z tym jedynym skutecznym rozwiązaniem jest profesjonalne czyszczenie zębów w gabinecie dentystycznym.
Co to jest kamień nazębny?

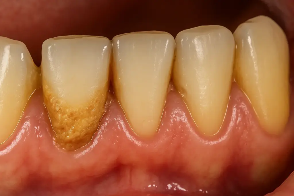
Kamień nazębny odnosi się do utwardzonej części płytki nazębnej, która przymocowuje się do zębów, zarówno powyżej, jak i poniżej linii dziąseł. Płytka to miękka, klejąca się warstwa bakteryjna, która codziennie rozwija się na zębach. Jeśli nie zostanie usunięta, minerały zawarte w ślinie utwardzają ją, tworząc kamień. W przeciwieństwie do płytki, kamienia nie można łatwo usunąć szczoteczką – jest mocno związany z powierzchnią zęba.
Dlaczego nie można usunąć kamienia nazębnego w domu?
Usuwanie kamienia nazębnego w domu będzie jedynie niepowodzeniem i ryzykowną praktyką.
- Za twardy do szczotkowania – Szczoteczka może usuwać jedynie miękką płytkę; kamień w stanie twardnienia musi zostać usunięty przez specjalistę stomatologa.
- Ryzyko uszkodzenia dziąseł – Narzędzia używane w domu mogą uszkodzić dziąsła, a te rany mogą się zainfekować.
- Ukryty pod dziąsłem – Najczęściej kamień powstaje w miejscach, które są niewidoczne, np. głęboko pod dziąsłami.
- Brak sterylizacji w domu – Narzędzia dentystyczne, używane w klinikach, są sterylizowane przed każdą procedurą, natomiast narzędzia używane w domu mogą przenosić bakterie.
Ryzyko nieleczonego kamienia nazębnego
Jeśli zdecydujesz się nie usuwać kamienia z zębów, będzie to nie tylko nieestetyczne, ale także zagraża Twojemu zdrowiu jamy ustnej:
- Choroby dziąseł (zapalenie dziąseł i zapalenie przyzębia) – Kamień jest główną przyczyną podrażnienia dziąseł i stopniowego stanu zapalnego.
Mikroorganizmy żyjące w kamieniu powodują przykry zapach z ust. - Próchnica – Nierówna powierzchnia kamienia pozwala na przyczepianie się jedzenia i bakterii, co prowadzi do próchnicy zębów.
- Utrata zębów – Jeśli kamienia jest dużo, resulting disease can eventually lead to destruction of the bone and teeth.
Jak dentysta usuwa kamień nazębny?
Dentyści i higieniści korzystają z profesjonalnych narzędzi, aby bezpiecznie usunąć kamień:
- Skalery ultradźwiękowe – Wibracje rozbijają kamień na małe kawałki.
- Narzędzia ręczne – Specific curettes scrape off the rest of the tartar.
- Polerowanie – Oczyszczona powierzchnia zęba jest mniej podatna na płytkę dzięki zastosowaniu polerowania.
Potocznie, proces ten nazywa się scalingiem i polerowaniem lub profesjonalnym czyszczeniem zębów. Jest to bezpieczna, szybka i bezwysiłkowa procedura, wykonywana przez specjalistów.
Jak zapobiegać powstawaniu kamienia nazębnego

Chociaż usunięcie kamienia nazębnego w domu jest niemożliwe, można spowolnić jego powstawanie:
- Używaj szczoteczki z pastą z fluorem i szczotkuj dokładnie dwa razy dziennie.
- Używaj nici dentystycznej, aby codziennie usuwać płytkę z przestrzeni międzyzębowych.
- Stosuj płukanie antybakteryjnym płynem do ust.
- Nie spożywaj słodkich i skrobiowych przekąsek.
- Regularnie korzystaj z profesjonalnego czyszczenia zębów co 6 miesięcy.
Znaczenie profesjonalnej opieki
Usuwanie kamienia nazębnego to coś, czego nie powinno się wykonywać w domu. Dentysta wraz z higienistą dysponują specjalistycznym sprzętem i odpowiednim przeszkoleniem, by zrobić to bezpiecznie. Klinika stomatologiczna Lema w Stambule to połączenie najnowszej technologii, wykwalifikowanego personelu i delikatnej opieki – gwarantując, że Twój uśmiech będzie dobrze chroniony przed powstawaniem kamienia.
Dlaczego warto wybrać Klinikę Stomatologiczną Lema do usuwania kamienia nazębnego?

W Klinice Stomatologicznej Lema w Stambule, usunięcie kamienia nazębnego to nie codzienna rutyna — to połączenie technologii, wiedzy zespołu i komfortu pacjenta w jednym, starannie opracowanym planie leczenia. Wielu ludzi uważa, że czyszczenie kamienia to tylko prosty krok, ale w Lema proces ten wykracza daleko poza podstawy.
- Zastosowanie Nowoczesnej Technologii: Dzięki ultradźwiękowym skalerom, precyzji pod mikroskopem i diagnostyce wspieranej CAD/CAM, stomatolodzy Lema są w stanie usunąć nawet uporczywe złogi kamienia, które znajdują się pod dziąsłami i nad nimi.
- Doświadczeni lekarze: Pierwsze czyszczenie jest wykonywane pod nadzorem specjalistów z międzynarodowym doświadczeniem, zapewniającym zdrowie dziąseł i bezpieczne usunięcie kamienia bez uszkodzeń.
- Komfort i opieka: Oprócz bezbolesnych technik i delikatnego polerowania, pacjenci nie tylko oczyszczają zęby, ale także doświadczają odświeżenia i zdrowia dla swojego uśmiechu.
- Zalecenia profilaktyczne: Po zakończeniu procedury zespół oferuje spersonalizowane zalecenia dotyczące codziennej higieny jamy ustnej, dostosowane do stylu życia pacjenta, aby opóźnić powstawanie złogów.
Wybierając Lema, nie tylko uwalniasz się od kamienia, ale także otrzymujesz opiekę nad przyzębiem, zapobiegasz próchnicy oraz korzystasz z opieki na poziomie Hollywood Smile. Dlatego pacjenci z Europy i innych zakątków świata przyjeżdżają do Stambułu na czyszczenie zębów, wybielanie, implanty czy pełne metamorfozy uśmiechu.
W Klinice Stomatologicznej Lema termin kamienia nazębnego znika z języka, a Twój przyszły uśmiech będzie olśniewający.
Źródła
- American Dental Association (ADA). „Plaque and Calculus.” ADA.org
- Światowa Organizacja Zdrowia (WHO). „Zdrowie Jamy Ustnej: Choroby Przyzębia.” WHO.int
- National Institute of Dental and Craniofacial Research (NIDCR). „Choroby Przyzębia.” NIDCR.nih.gov
- PubMed Central. „Skalowanie Zębów i Planowanie Korzeni w Leczeniu Periodontalznym.” PMC.gov
- Centra Kontroli i Zapobiegania Chorobom (CDC). „Szczotkowanie i nitkowanie dla zdrowych zębów.”CDC.gov
Najczęściej zadawane pytania o kamień nazębny
Nie. Usunięcie płytki, która przekształciła się w kamień, jest możliwe tylko przy użyciu specjalistycznych narzędzi, dostępnych wyłącznie dla dentysty. Samodzielne próby mogą uszkodzić dziąsła.
Większość osób wymaga profesjonalnego czyszczenia co sześć miesięcy. Osoby z chorobami dziąseł mogą wymagać częstszych wizyt.
Może to prowadzić do chorób dziąseł, nieświeżego oddechu, próchnicy, a z czasem nawet do utraty zębów.
Nie. Dentysta korzysta z ultradźwiękowych skalerów i polerowania, które są bardzo łagodne; jest to procedura bezpieczna i komfortowa.
Klinika Stomatologiczna Lema w Stambule ma najnowszą technologię, wykwalifikowany personel oraz zapewnia luksusową opiekę, która gwarantuje bezpieczne i pełne usunięcie kamienia.

